Papanicolaou segue sendo um exame fundamental para detecção de alterações pré-neoplásticas e a testagem molecular DNA-HPV apresenta com uma opção de diagnóstico assertivo para o vírus HPV
No início de 2024, o Ministério da Saúde incorporou ao SUS a tecnologia de testagem molecular para detecção do vírus HPV e rastreamento do câncer do colo do útero, recomendando o exame de biologia molecular DNA-HPV pelo método do RT-PCR para 12 tipos de HPV considerados de alta oncogenicidade, com genotipagem parcial ou estendida.
Como apontado por estudo realizado pela UNICAMP em 2021, o teste molecular DNA-HPV é capaz de detectar ainda mais precocemente o vírus precursor da doença. Ele foi recentemente incorporado ao SUS, seguindo o Relatório de Recomendação nº 878 – Testagem Molecular para Detecção de HPV e rastreamento do câncer do colo do útero, elaborado pela CONITEC (Comissão Nacional de Incorporação de Tecnologias no Sistema Único de Saúde).
“A detecção em estágio inicial possibilita um tratamento mais barato, menos mutilador e com chances de 100% de cura. Os resultados imediatos, além dos anteriores já publicados com demonstração de custo-efetividade, podem apoiar os gestores de Saúde no estabelecimento de um programa nacional de rastreamento mais eficiente e duradouro e, principalmente, com impacto real na mortalidade”, destacou Júlio César Teixeira, professor da UNICAMP, líder do estudo.
Mauren Isfer Anghebem, editora da RBAC e docente da UFPR e da PUC-PR, destaca que, em casos de DNA-HPV positivos, é indicado prosseguir com a investigação da presença ou não de lesão cervical por meio de exames confirmatórios: colposcopia, citopatologia e/ou ácido acético.
Dra Mauren ressalta, ainda, que o exame de Papanicolaou continua sendo um aliado no diagnóstico de câncer de colo uterino: “O exame citopatológico do colo uterino permanece desempenhando papel central na detecção de alterações pré-neoplásicas, tanto por seu custo-benefício, quanto também por ser amplamente conhecido e oferecido pela rede de laboratórios brasileiros. Além disso, é consideravelmente menos oneroso que a testagem molecular do HPV”.

Imagem 1: Citologia de amostra cervical: Células escamosas superficiais e intermediárias em um exame saudável de Papanicolaou. Coloração de Papanicolaou. Aumento de 400x + zoom de celular.
Cortesia: Mauren Isfer Anghebem @mauren.isfer
Imagem 2: Nessa lâmina, é possível ver alterações compatíveis com lesão intraepitelial escamosa de baixo grau – LSIL. A seta aponta para grupamento de células com efeito citopático causado pelo HPV, denominadas de coilócitos, caracterizando lesão intraepitelial escamosa de baixo grau (LSIL). Coloração de Papanicolaou. Aumento de 400x + zoom de celular.
Cortesia: Mauren Isfer Anghebem @mauren.isfer
Além disso, o exame de Papanicolaou tem como principal finalidade a detecção de alterações celulares precursoras do câncer do colo de útero e é um importante aliado no diagnóstico de vaginites e vaginoses. O Sistema Bethesda recomenda que a presença de microrganismos distintos da microbiota vaginal seja descrita no laudo.

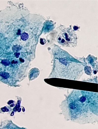
Imagem 3: Nessa lâmina, a seta aponta para o microrganismo Trichomonas sp. observado em exame colpocitológico. Coloração de Papanicolaou. Aumento de 400x + zoom de celular.
Cortesia: Mauren Isfer Anghebem @mauren.isfer
Um ponto importante em relação ao debate sobre a utilização da testagem molecular de HPV é a dificuldade de implementação de programas de rastreamento robustos, especialmente em países da América Latina, como destaca a Dra. Silvia Helena Rabelo dos Santos, professora titular de Citologia Clínica da Faculdade de Farmácia da Universidade Federal de Goiás (UFG).
“Apesar dos testes de HPV apresentarem desempenho mais eficaz do que outros métodos de triagem para a redução da incidência e mortalidade por câncer de colo uterino, poucos países da América Latina apresentaram uma implementação operacional no domínio dos programas de rastreio baseados em biologia molecular. Ainda, a garantia da qualidade deve ser uma consideração primordial de qualquer laboratório que pretenda realizar testes de HPV.”, aponta a professora.
Dra Silvia enfatiza que “o êxito de programas para prevenção do câncer do colo uterino é dependente de uma forma de rastreio organizada em detrimento ao rastreio oportunístico. O rastreio com o uso exclusivo de testes moleculares aumenta o número de pacientes encaminhadas para a colposcopia, o que pode comprometer ainda mais um cenário que já não é adequado atualmente, como demonstrado em publicações com dados do Brasil “
É importante ressaltar que a citologia reduz a incidência e a mortalidade associadas ao câncer do colo do útero, com maiores efeitos observados em programas de rastreio organizados. Representa, ainda, o padrão ouro na triagem para câncer do colo uterino em muitos países, supostamente, devido ao baixo custo e aceitável reprodutibilidade do desempenho, apesar de sua variável sensibilidade.
“A citologia mostra resultados consistentes relativos a especificidade de aproximadamente 98% e estimativas de sensibilidade variando entre 55% e 80%. A sensibilidade é equilibrada por exames repetidos durante a maior parte da vida da mulher. De fato, as taxas de sensibilidade são variadas e dependentes das estratégias de controle de qualidade”, salienta a professora.
O Grupo de Trabalho da Agência Internacional de Pesquisa sobre o Câncer (IARC), reconhece a natureza subjetiva do exame Papanicolau e destaca a importância do controle de qualidade interno e externo nos laboratórios. “O Ministério da Saúde têm direcionado esforços na implantação dos laboratórios de controle externo de qualidade que demonstraram uma melhora dos indicadores de qualidade, especialmente quanto ao Índice de Positividade e Percentual de lesão intraepitelial escamosa de alto grau. Em resumo, mais importante do que o tipo de teste é a expansão dos esforços dos sistemas de vigilância tanto na cobertura como no controle de qualidade”, conclui Dra Silvia.
| O Brasil possui um Programa Nacional de Controle do Câncer do Colo do Útero, que se baseia no rastreamento de lesões precursoras do câncer uterino, em pessoas assintomáticas, sexualmente ativas, com idade entre 25 e 64 anos: |
| Prevenção primária: vacinação contra o HPV |
| Prevenção secundária: exame de rastreamento |
| Prevenção terciária: seguimento e tratamento |
“No Brasil, o programa de prevenção do câncer do colo do útero apresenta boa cobertura na atenção primária e secundária, mas a baixa cobertura na prevenção terciária ainda é um desafio”, aponta Dra. Mauren Isfer Anghebem.
A SBAC reforça a importância de levar o conhecimento científico, a inovação tecnológica e as melhores práticas globais do diagnóstico laboratorial para a bancada, contribuindo para a qualidade dos processos laboratoriais, o manejo clínico e a segurança do paciente.
Para ler mais conteúdos como este, acesse:
https://www.sbac.org.br/category/conteudo-cientifico/